全国最好的胶质瘤医生排名,第一届我国医师协会脑胶质瘤技术专业联合会北京创立,它是我国脑胶质瘤医治行业中第一个国家级别的靠谱学术研究机构,其第一届的101位委...
脑干胶质瘤分为两种:弥漫性脑干胶质瘤(最常见于桥脑)和局灶性脑干胶质瘤(大多位于中脑和延髓),下面我们分享一例脑干胶质瘤德国成功手术案例,前言:我庆幸,各种努...
胶质瘤术后生存期多长?胶质瘤资讯网指出,胶质瘤是颅内很常见的原发性恶性肿瘤,约占脑肿瘤的40%-50%,年发病率为3-8/10万。按照WHO病理分型标准,胶质瘤包括很多病理类...
垂体瘤中,在垂体肿瘤,代表从10%到所有颅内肿瘤的25%,并且在一般人群中所估计的患病率大约为17%。在临床实践中,神经外科医生通常采用鼻内经蝶窦显微手术切除垂...
垂体瘤是一组从垂体前叶和后叶及颅咽管上皮残余细胞发生的肿瘤。临床上有明显症状者约占颅内肿瘤的10%。男性略多于女性,垂体瘤通常发生于青壮年时期,常常会影响患...
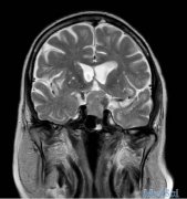
患者男,85岁,因头痛、呕吐、双眼进行性视力丧失5天就诊。否认体重下降、惊厥、肢体或面部不适等。有高血压、腹主动脉瘤、甲状腺功能减退和良性前列腺肥大。胶质瘤...
--jiaozhiliu--




